Dental Cleanings

Never Felt So Clean

Your Frisco Dentist

Owners of Today Dental

Dr. Erika Ledesma Today Dental Crowley

Modern Ultrasonic cleanings

Step into a new era of dental care at Today Dental of Frisco with ultrasonic cleanings. Our innovative approach, featuring the Cavitron and laser technology, ensures a thorough and efficient cleaning experience.

Quick appointments

Experience a faster dental appointment with minimized chair time. Swift seating, efficient teeth cleaning, and a quick finish. It’s that easy and time-saving.

Less costs

Your savings matter at Today Dental. With the integration of lasers and ultrasonic scalers, we’ve efficiently shortened cleaning appointments, passing the savings on to you.

A painless experience

Experience pain-free dental cleanings at Today Dental of Frisco, where technology and a gentle touch are key. Choose from our three sedation options: IV sedation, conscious sedation, and nitrous oxide, providing personalized comfort.

Easy, soft touch cleaning

Avoid the inconvenience of poking and prodding! Our Frisco dental practice firmly opposes heavy-handed cleanings. We prioritize a gentle touch with fingertip pressure to clean your teeth comfortably in the chair.

Modern Ultrasonic cleanings

Step into a new era of dental care at Today Dental of Frisco with ultrasonic cleanings. Our innovative approach, featuring the Cavitron and laser technology, ensures a thorough and efficient cleaning experience.

Quick appointments

Experience a faster dental appointment with minimized chair time. Swift seating, efficient teeth cleaning, and a quick finish. It’s that easy and time-saving.

Less costs

Your savings matter at Today Dental. With the integration of lasers and ultrasonic scalers, we’ve efficiently shortened cleaning appointments, passing the savings on to you.

A painless experience

Experience pain-free dental cleanings at Today Dental of Frisco, where technology and a gentle touch are key. Choose from our three sedation options: IV sedation, conscious sedation, and nitrous oxide, providing personalized comfort.

Easy, soft touch cleaning

Avoid the inconvenience of poking and prodding! Our Frisco dental practice firmly opposes heavy-handed cleanings. We prioritize a gentle touch with fingertip pressure to clean your teeth comfortably in the chair.

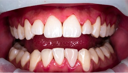
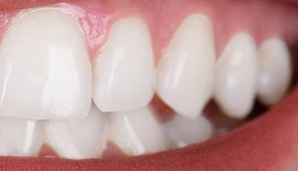
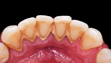
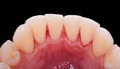
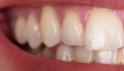
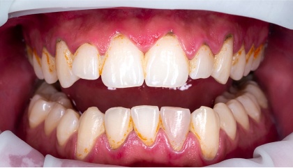
Better Teeth Better Health

before
after
before
after
before
after
before
after

Opening Hours

DayHours
Monday8:30 a.m. - 5:30 p.m.
Tuesday8:30 a.m. - 5:30 p.m.
Wednesday8:30 a.m. - 5:30 p.m.
Thursday8:30 a.m. - 5:30 p.m.
Friday8:30 a.m. - 3:00 p.m.
Saturday8:00 a.m. - 2:00 p.m.
SundayClosed

YOUR Frisco TEAM

Frisco Office
Frisco Office
Frisco Office
Frisco Office
Frisco Office
Frisco Office
Frisco Office
Frisco Office
Frisco Office
Frisco Office
Frisco Office
CM
Christian M.

I’m new to Texas and lucked out with this dentist. Absolutely wonderful people and made me feel very comfortable. They were very friendly and took their time to explain procedures and recommendations. Check them out you won’t be disappointed.

JR
Jerimiah R.

Got a root canal done here and it went by like nothing. Dentist were real nice, careful, and patient. They make sure you are comfortable and ready for treatment. Definitely recommend getting serviced here if you are thinking about it!

AD
Allen D.

I highly recommended Today Dental Frisco! The office manager Shannon is amazing, she got me in quickly and was very helpful with explaining my treatment plan. Dr. Rongali & the assistant Terica made me feel welcomed & comfortable. They are great!

KD
Kyle D.

I’m new to Texas. I came in today for a cleaning. The service was absolutely amazing. Shannon at the front was very kind and assisted me with all the paperwork. Dr. Rongali took good care of me. Looking forward to my next visit!

You’ve made it this far. . .

FREE Teeth Whitening

Just ask at your first visit

Your Frisco DENTAL cLEANING EXPERTS

Frequently Asked Questions

Need a dental appointment ASAP?

Don't sweat it! At Today Dental, we prioritize same-day appointments whenever possible, ensuring your oral health needs are addressed promptly. If, by chance, our office is closed, we'll seamlessly connect you with our nearby sister clinic. Your time is valuable, and we understand the importance of convenient healthcare.

Curious about ultrasonic cleaning?

Imagine a gentle and efficient spa day for your teeth! This advanced technology utilizes sound waves and a specialized solution to remove plaque, tartar, and stains, offering a more comfortable experience than traditional cleaning methods.

Worried you might need a "deep cleaning"?

Relax, our experienced team is here to help! We excel in scaling and root planing (deep cleanings). We'll conduct a thorough oral health assessment and develop a personalized treatment plan tailored specifically to your needs. At Today Dental, personalized care is our cornerstone.

Thinking a regular cleaning is enough before a deep cleaning?

While regular cleanings are crucial for maintaining good oral health, they are not recommended for individuals requiring a deep cleaning due to gum disease. Deep cleaning addresses advanced plaque and tartar buildup below the gumline, requiring specific treatment protocols. In some cases, a preliminary debridement cleaning might be necessary to prepare your teeth for the deep cleaning appointment.

Wondering how long your appointment will take?

The duration depends on various factors like your patient status and the procedure required. Typically, routine cleanings with exams and X-rays take an hour for returning patients and an hour and a half for new patients. Deep cleanings (scaling and root planing) usually require a separate appointment, lasting anywhere from one to three hours, depending on the severity of the case.