Implant Dentures & All-on-4s...

No More Wobble!
Experience Matters.
0
Delivered dentures... and counting ;)

Your Frisco Dentist

Owners of Today Dental

Dr. Erika Ledesma Today Dental Crowley

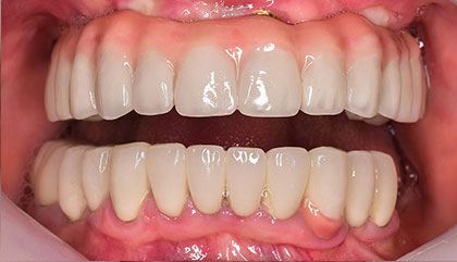
Max strength dentures

Our dentures are built super strong, crafted with careful design to last a long time. We’ve got the skills to make dentures that fit your unique needs and blend right in with your other teeth.

Reduced time at the dentist!

At Today Dental of Frisco, we use the newest techniques and tech to make getting dentures faster. That means less time in the dental chair – way better, right?

Accomplished team

We’re all about looks, function, and beauty! Our dentist in Frisco, Texas, has spent years perfecting the dentures. Plus, we have strong relationships with local dental labs, making sure we use top-notch materials for flexible, acrylic and metal free dentures.

Low cost, superior quality

We maintain the highest quality in materials, techniques and the use of technology. We only utilize the finest materials, all while ensuring cost-effectiveness.

Painless denture visit!

We’ve got options for you – like IV sedation, conscious sedation, and nitrous oxide. And we make sure your visits are pain-free, so no need to stress about discomfort in the dental chair!

Implants under denture

Eat with confidence! Whether you go for an implant-retained denture, overdenture, or All-on-4, say goodbye to worries about loose teeth! We’ve got options like snap-on, screw-retained, and cemented – take your pick!

Max strength dentures

Our dentures are built super strong, crafted with careful design to last a long time. We’ve got the skills to make dentures that fit your unique needs and blend right in with your other teeth.

Reduced time at the dentist!

At Today Dental of Frisco, we use the newest techniques and tech to make getting dentures faster. That means less time in the dental chair – way better, right?

Accomplished team

We’re all about looks, function, and beauty! Our dentist in Frisco, Texas, has spent years perfecting the dentures. Plus, we have strong relationships with local dental labs, making sure we use top-notch materials for flexible, acrylic and metal free dentures.

Low cost, superior quality

We maintain the highest quality in materials, techniques and the use of technology. We only utilize the finest materials, all while ensuring cost-effectiveness.

Painless denture visit!

We’ve got options for you – like IV sedation, conscious sedation, and nitrous oxide. And we make sure your visits are pain-free, so no need to stress about discomfort in the dental chair!

Implants under denture

Eat with confidence! Whether you go for an implant-retained denture, overdenture, or All-on-4, say goodbye to worries about loose teeth! We’ve got options like snap-on, screw-retained, and cemented – take your pick!

Who’s ready for Steak?

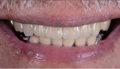
before
after
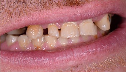
before
after
before
after
before
after

Opening Hours

DayHours
Monday8:30 a.m. - 5:30 p.m.
Tuesday8:30 a.m. - 5:30 p.m.
Wednesday8:30 a.m. - 5:30 p.m.
Thursday8:30 a.m. - 5:30 p.m.
Friday8:30 a.m. - 3:00 p.m.
Saturday8:00 a.m. - 2:00 p.m.
SundayClosed

YOUR Frisco TEAM

Frisco Office
Frisco Office
Frisco Office
Frisco Office
Frisco Office
Frisco Office
Frisco Office
Frisco Office
Frisco Office
Frisco Office
Frisco Office
CM
Christian M.

I’m new to Texas and lucked out with this dentist. Absolutely wonderful people and made me feel very comfortable. They were very friendly and took their time to explain procedures and recommendations. Check them out you won’t be disappointed.

JR
Jerimiah R.

Got a root canal done here and it went by like nothing. Dentist were real nice, careful, and patient. They make sure you are comfortable and ready for treatment. Definitely recommend getting serviced here if you are thinking about it!

AD
Allen D.

I highly recommended Today Dental Frisco! The office manager Shannon is amazing, she got me in quickly and was very helpful with explaining my treatment plan. Dr. Rongali & the assistant Terica made me feel welcomed & comfortable. They are great!

KD
Kyle D.

I’m new to Texas. I came in today for a cleaning. The service was absolutely amazing. Shannon at the front was very kind and assisted me with all the paperwork. Dr. Rongali took good care of me. Looking forward to my next visit!

You’ve made it this far. . .

FREE Denture Cleaning

Just ask at your first visit

Your Frisco DENTURE EXPERTS

Frequently Asked Questions

Timeframe to make dentures?

While dental implants require a year or more, dentures can be crafted in just a few weeks. Need a quicker solution? We offer fast-track options with temporary replacements available within 1-2 business days. The typical process involves 2-3 appointments spread over 3-4 weeks, depending on factors like new vs. replacement dentures, healing time, and the specific type chosen.

Do dentures fit your budget?

Compared to other tooth replacement methods, dentures are often a cost-conscious choice, especially with insurance. They generally range from $550 to $2,000, depending on the number of missing teeth, the material and type of denture, and your insurance coverage. We also offer an In-Office Discount Program for patients without insurance.

What happens during your consultation?

During your initial consultation, the dentist will delve into your options, outlining the entire process, timeline, and associated fees. They may also take digital scans of your mouth on the same day to streamline the denture creation process, minimizing the number of appointments required.

Can dentures improve your quality of life?

Absolutely! Dentures can significantly enhance your overall well-being by allowing you to eat, speak, and smile with confidence again. Whether you're missing a few teeth or need a full set, dentures offer a versatile and accessible solution. Beyond functionality, dentures can even benefit your facial structure by maintaining natural contours and preventing the sagging that can occur with tooth loss. We offer various options, including full dentures, partial dentures, and implant-supported dentures, to find the ideal fit for your specific needs and lifestyle preferences.

Do you offer denture repairs?

Certainly! We prioritize patient convenience, aiming to repair your dentures in 1-2 days in most cases. Whenever possible, we utilize modern technologies to focus on preserving and restoring your existing dentures. If repairs are viable, it's generally a faster and more cost-effective option compared to complete replacements. Your satisfaction and well-being remain our top priorities!