We Do the Impossible…

Pain Free Root Canals

Fingers crossed you don’t need it, but if you do, we’re here to help

Your Frisco Dentist

Owners of Today Dental

Dr. Erika Ledesma Today Dental Crowley

Simple durable root canals!

Wave goodbye to pain with our cleanest root canals! Embrace superior quality as we adhere to unwavering standards, incorporating cutting-edge technology and materials to maintain your tooth’s health and strength.

Minimal time at the dentist

Streamlined root canal therapy at Today Dental of Frisco means shorter appointment times, thanks to cutting-edge dental techniques. Allocate more time to your family and less time in the dental office.

Low cost, superior quality

Save big with our Frisco dentist! We prioritize efficiency in root canal appointments to maintain affordability, providing a dental experience that’s not only amazing but also within your budget.

Pain free appointments!

At Today Dental of Frisco, our root canals are tailored to save your tooth and ensure a pain-free experience. Feel confident that our root canal procedure is as comfortable as a routine dental cleaning.

Accomplished dentists

In Frisco, Texas, our dentist has perfected the art of root canals over the years. Embracing continuous learning, we’ve attended extensive courses to enhance your root canal experience, ensuring longer-lasting and more predictable results.

Conservative style

Choose us for conservative root canal excellence! We’re dedicated to maintaining the integrity of your natural tooth structure through cutting-edge minimally invasive root canal therapy.

Simple durable root canals!

Wave goodbye to pain with our cleanest root canals! Embrace superior quality as we adhere to unwavering standards, incorporating cutting-edge technology and materials to maintain your tooth’s health and strength.

Minimal time at the dentist

Streamlined root canal therapy at Today Dental of Frisco means shorter appointment times, thanks to cutting-edge dental techniques. Allocate more time to your family and less time in the dental office.

Low cost, superior quality

Save big with our Frisco dentist! We prioritize efficiency in root canal appointments to maintain affordability, providing a dental experience that’s not only amazing but also within your budget.

Pain free appointments!

At Today Dental of Frisco, our root canals are tailored to save your tooth and ensure a pain-free experience. Feel confident that our root canal procedure is as comfortable as a routine dental cleaning.

Accomplished dentists

In Frisco, Texas, our dentist has perfected the art of root canals over the years. Embracing continuous learning, we’ve attended extensive courses to enhance your root canal experience, ensuring longer-lasting and more predictable results.

Conservative style

Choose us for conservative root canal excellence! We’re dedicated to maintaining the integrity of your natural tooth structure through cutting-edge minimally invasive root canal therapy.

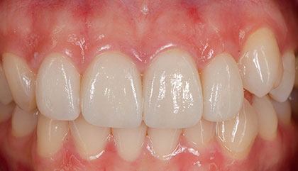
Our Superpower is Saving Teeth

before
after
before
after
before
after
before
after

Opening Hours

DayHours
Monday8:30 a.m. - 5:30 p.m.
Tuesday8:30 a.m. - 5:30 p.m.
Wednesday8:30 a.m. - 5:30 p.m.
Thursday8:30 a.m. - 5:30 p.m.
Friday8:30 a.m. - 3:00 p.m.
Saturday8:00 a.m. - 2:00 p.m.
SundayClosed

YOUR Frisco TEAM

Frisco Office
Frisco Office
Frisco Office
Frisco Office
Frisco Office
Frisco Office
Frisco Office
Frisco Office
Frisco Office
Frisco Office
Frisco Office
CM
Christian M.

I’m new to Texas and lucked out with this dentist. Absolutely wonderful people and made me feel very comfortable. They were very friendly and took their time to explain procedures and recommendations. Check them out you won’t be disappointed.

JR
Jerimiah R.

Got a root canal done here and it went by like nothing. Dentist were real nice, careful, and patient. They make sure you are comfortable and ready for treatment. Definitely recommend getting serviced here if you are thinking about it!

AD
Allen D.

I highly recommended Today Dental Frisco! The office manager Shannon is amazing, she got me in quickly and was very helpful with explaining my treatment plan. Dr. Rongali & the assistant Terica made me feel welcomed & comfortable. They are great!

KD
Kyle D.

I’m new to Texas. I came in today for a cleaning. The service was absolutely amazing. Shannon at the front was very kind and assisted me with all the paperwork. Dr. Rongali took good care of me. Looking forward to my next visit!

You’ve made it this far. . .

FREE Teeth Whitening

Just ask at your first visit

Your Frisco ROOT CANAL EXPERTS

Frequently Asked Questions

Worried about root canal discomfort? We can help!

At Today Dental, we understand concerns about root canals. But fret no more! Modern techniques and local anesthesia ensure a comfortable experience for most patients. Many report feeling minimal to no discomfort during the procedure. Our experienced team is also dedicated to providing a relaxed and positive environment.

Root canals and tooth strength: Separating fact from fiction.

It's true that larger back teeth, especially molars, can be more susceptible to fractures after a root canal. This is because they lose their blood supply and become slightly brittle. However, this risk is relatively low, and dentists often recommend placing a crown on back teeth after the procedure for added protection. Front teeth typically don't require crowns following a root canal.

Time is of the essence? Same-day root canals are available!

We prioritize your well-being and understand the need for prompt care. We reserve specific slots in our schedule for same-day root canals, aiming to get you out of pain and back to your daily routine quickly. In the rare case our office is closed, we'll collaborate with our partner clinic to connect you with immediate care.

Pain-free doesn't always mean a healthy tooth: Here's the truth.

A crucial fact to remember is that a root canal might be necessary even when you experience no pain. This often signifies the tooth is "dead" (lacking a nerve), explaining the absence of discomfort. However, the infection inside the tooth can still spread and lead to serious complications like abscesses if left untreated. Our dentists utilize advanced diagnostic tools, including X-rays, to accurately diagnose the true condition of your tooth and recommend the best course of action.

Extraction vs. Root Canal: Making an informed decision.

While extracting a tooth may seem like a simpler solution initially, it can lead to significant financial burdens down the line. Replacing a missing tooth with implants or dentures can be considerably more expensive than saving the natural tooth with a root canal (and potentially a crown). Additionally, each tooth plays a crucial role in maintaining the structure and function of your jaw, preventing surrounding teeth from shifting and causing misalignment. Choosing a root canal can not only save you money but also contribute to a long-term healthy and stable smile, preserving your natural teeth for optimal functionality and aesthetics.