Implants…

Absolutely!
Experience Matters.
0
Implants placed... and counting ;)

Your Frisco Dentist

Owners of Today Dental

Dr. Erika Ledesma Today Dental Crowley

Pain free implants

Dentist pain and anxiety is so last season! Embrace tranquility with our sedation choices – IV sedation, conscious sedation, laughing gas. Your Frisco dentist will give you a pain free experience.

Less time at the dentist

Our advanced technology simplifies implants, requiring fewer appointments for an efficient and enjoyable experience. Prioritize family time over dental chair time!

Saving on implant costs

Rolling out the red carpet for your wallet! Today Dental‘s affordable implant methods ensures you get top-tier treatment without the premium price tag. Smile confidently, save effortlessly!

Dental implant experts

Meet our dental implant maestros at Today Dental of Frisco. We’re not just about dental implants; we’re on a mission to create the perfect patient experience. Elevate your dental visits like never before!

Implants meant to last

Smile boldly with Today Dental of Frisco dental implants! Quality is our mantra, offering the latest in dental implant technology and a thrilling lineup of hydroxyapatite-coated titanium implants for your confidence revival!

Customized implant options

We offer options aplenty! Single implants, multiple implants, retained overdentures, or the well-known All-On-Four – we’ve got the expertise to customize your treatment for your needs.

Pain free implants

Dentist pain and anxiety is so last season! Embrace tranquility with our sedation choices – IV sedation, conscious sedation, laughing gas. Your Frisco dentist will give you a pain free experience.

Less time at the dentist

Our advanced technology simplifies implants, requiring fewer appointments for an efficient and enjoyable experience. Prioritize family time over dental chair time!

Saving on implant costs

Rolling out the red carpet for your wallet! Today Dental‘s affordable implant methods ensures you get top-tier treatment without the premium price tag. Smile confidently, save effortlessly!

Dental implant experts

Meet our dental implant maestros at Today Dental of Frisco. We’re not just about dental implants; we’re on a mission to create the perfect patient experience. Elevate your dental visits like never before!

Implants meant to last

Smile boldly with Today Dental of Frisco dental implants! Quality is our mantra, offering the latest in dental implant technology and a thrilling lineup of hydroxyapatite-coated titanium implants for your confidence revival!

Customized implant options

We offer options aplenty! Single implants, multiple implants, retained overdentures, or the well-known All-On-Four – we’ve got the expertise to customize your treatment for your needs.

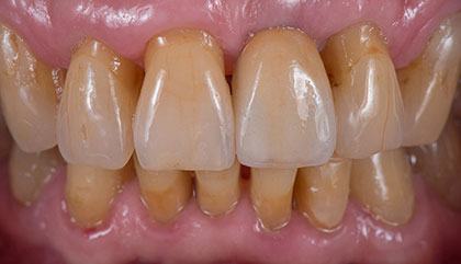
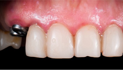
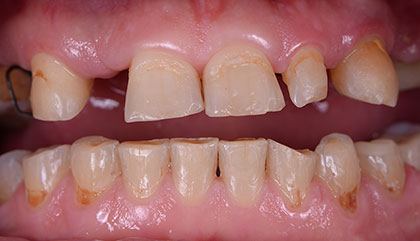
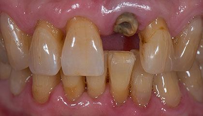
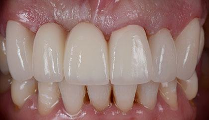
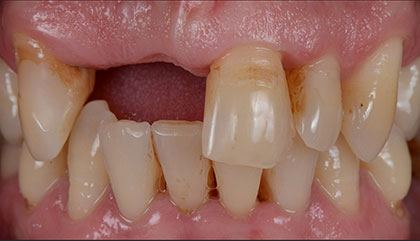
Love Your Smile, Love Your Implant

before
after
before
after
before
after
before
after

Opening Hours

DayHours
Monday8:30 a.m. - 5:30 p.m.
Tuesday8:30 a.m. - 5:30 p.m.
Wednesday8:30 a.m. - 5:30 p.m.
Thursday8:30 a.m. - 5:30 p.m.
Friday8:30 a.m. - 3:00 p.m.
Saturday8:00 a.m. - 2:00 p.m.
SundayClosed

YOUR Frisco TEAM

Frisco Office
Frisco Office
Frisco Office
Frisco Office
Frisco Office
Frisco Office
Frisco Office
Frisco Office
Frisco Office
Frisco Office
Frisco Office
CM
Christian M.

I’m new to Texas and lucked out with this dentist. Absolutely wonderful people and made me feel very comfortable. They were very friendly and took their time to explain procedures and recommendations. Check them out you won’t be disappointed.

JR
Jerimiah R.

Got a root canal done here and it went by like nothing. Dentist were real nice, careful, and patient. They make sure you are comfortable and ready for treatment. Definitely recommend getting serviced here if you are thinking about it!

AD
Allen D.

I highly recommended Today Dental Frisco! The office manager Shannon is amazing, she got me in quickly and was very helpful with explaining my treatment plan. Dr. Rongali & the assistant Terica made me feel welcomed & comfortable. They are great!

KD
Kyle D.

I’m new to Texas. I came in today for a cleaning. The service was absolutely amazing. Shannon at the front was very kind and assisted me with all the paperwork. Dr. Rongali took good care of me. Looking forward to my next visit!

You’ve made it this far. . .

FREE Teeth Whitening

Just ask at your first visit

Your Frisco DENTAL IMPLANT EXPERTS

Frequently Asked Questions

How long will my dental implant journey take?

While everyone's journey is unique and the exact timeline may vary, the typical process involves multiple appointments. There are usually five key steps, but some individuals may only require three depending on their existing bone health and other factors. Each step has an average healing period ranging from three to six months. Most patients at Today Dental of Frisco complete the entire process within four to five months.

Understanding the cost associated with dental implants:

Implant costs can vary depending on individual needs, typically ranging from $1,200 to $2,500 per implant. It's important to note that this may not include additional procedures like extractions, bone grafting, abutments, or the final crown. Recognizing the importance of affordability, Today Dental of Frisco offers several options to help make implants accessible:

  • Working within your budget: We'll discuss various financial options and explore ways to make implants affordable for your unique situation.
  • Maximizing insurance benefits: We can assist you in utilizing your dental insurance coverage to its fullest potential, minimizing out-of-pocket expenses.
  • Flexible payment solutions: We offer our in-office CareDent Plan for additional discounts on your treatment.

What to expect during your initial consultation:

During your first visit, we'll conduct a comprehensive evaluation of your bone health, gums, and overall oral health to determine if implants are the right choice for you. We believe in transparency, so we'll present a detailed treatment plan outlining the necessary steps, timeline, and associated costs, ensuring there are no hidden fees. Whenever possible, we strive to streamline the process by initiating treatment on the same day, minimizing the number of appointments required.

Why choose dental implants over other options?

Dental implants offer several advantages compared to other tooth replacement options. They provide a natural look and feel, closely resembling natural teeth in both appearance and function. Additionally, with proper care, implants have a high success rate, making them a durable and long-lasting solution for missing teeth, allowing you to regain confidence in your smile.

Minimizing discomfort during the procedure:

Your comfort is our top priority. Our experienced dentist utilizes the latest technology and techniques to minimize discomfort throughout the entire implant process. We also offer various pain management options, such as local anesthesia, sedation dentistry, and nitrous oxide, to ensure a comfortable experience for every patient.