
Your Frisco Dentist
Owners of Today Dental


Opening Hours
Day | Hours |
---|---|
Monday | 8:30 a.m. - 5:30 p.m. |
Tuesday | 8:30 a.m. - 5:30 p.m. |
Wednesday | 8:30 a.m. - 5:30 p.m. |
Thursday | 8:30 a.m. - 5:30 p.m. |
Friday | 8:30 a.m. - 3:00 p.m. |
Saturday | 8:00 a.m. - 2:00 p.m. |
Sunday | Closed |
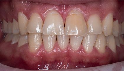
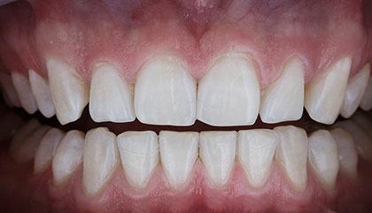
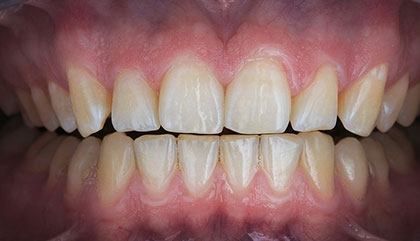
Your Frisco WHITENING EXPERTS
Frequently Asked Questions
Can you share the expected completion time?
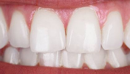
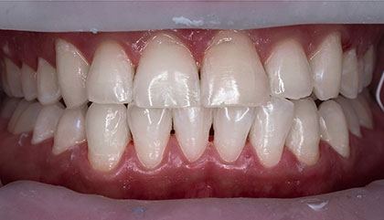
One appointment, whiter smile! Professional whitening (Zoom/Boost) provides a faster and more effective alternative to take-home kits, achieving noticeable results in a single session (60-90 minutes).
I'm curious if this whitening treatment works on teeth with veneers or crowns.
Important to note: whitening won't impact veneers or crowns. However, your Today Dental of Frisco dentist can recommend options to achieve your desired smile color.
What is the financial commitment required for this?
Whiten your teeth for free! Today Dental of Frisco offers complimentary teeth whitening kits, including custom trays, gel, and a case, to all patients. We'll ensure you have everything you need with free gel refills and lost tray replacements. If you're looking for a quicker whitening option, consider our in-office professional service, typically priced at $200-$300 (potential holiday discounts may apply).
Can teeth whitening help me achieve my desired smile?
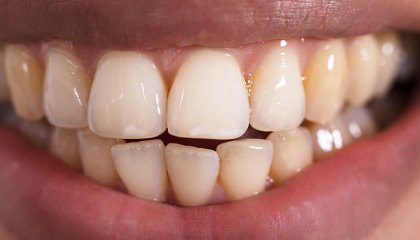
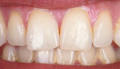
Let's explore your whitening options! Each smile is unique at Today Dental, and so is its suitability for whitening. We consider your teeth's current condition, oral health, and desired results before recommending treatment. Generally, whitening works well for stains caused by age, food/drinks, and smoking, but might not be suitable for untreated cavities, gum disease, or other dental issues. Overusing or incorrectly using whitening products can also lead to sensitivity, so professional advice is key.
Am I at the right age to whiten my teeth?
Not quite the right time for whitening for younger smiles. At Today Dental, we typically advise against teeth whitening for individuals under 16. This is because their teeth are still developing and may be more sensitive. We can help you decide if waiting is best or explore alternative options for a brighter smile.